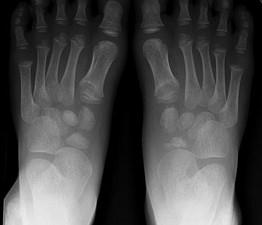
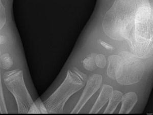
男,5岁,足背肿痛,请结合图像,选出最可能的诊断 ( )A、软骨发育不全B、剥脱性骨软骨炎C、跗舟骨骨折D、成骨不全E、跗舟骨...

作者: rantiku 人气: - 评论: 0
问题 男,5岁,足背肿痛,请结合图像,选出最可能的诊断 ( )
选项 A、软骨发育不全 B、剥脱性骨软骨炎 C、跗舟骨骨折 D、成骨不全 E、跗舟骨缺血坏死
答案 E
解析

猜你喜欢

发表评论
更多 网友评论0 条评论)
暂无评论

访问排行

Copyright © 2012-2014 恰考网 Inc. 保留所有权利。 Powered by tikuer.com

页面耗时0.0607秒, 内存占用1.03 MB, Cache:redis,访问数据库20次