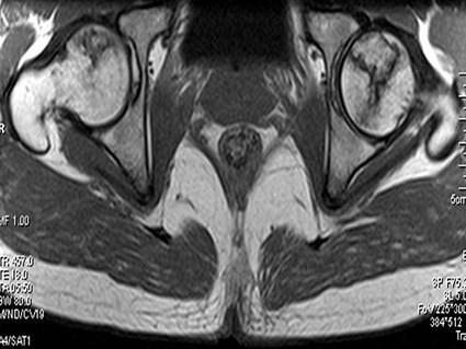
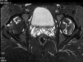
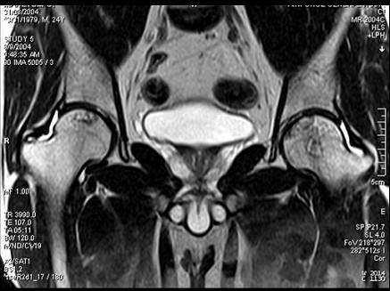
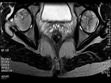
患者,男,24岁,曾有外伤史,两侧髋部疼痛不适数月,请结合所提供的图像,选择最佳答案 ( )A、化脓性骨关节炎B、类风湿关节炎两侧...

作者: rantiku 人气: - 评论: 0
问题 患者,男,24岁,曾有外伤史,两侧髋部疼痛不适数月,请结合所提供的图像,选择最佳答案 ( )
选项 A、化脓性骨关节炎 B、类风湿关节炎两侧 C、髋关节退行性变 D、未见异常 E、股骨头无菌性坏死
答案 E
解析

猜你喜欢

发表评论
更多 网友评论0 条评论)
暂无评论

访问排行

Copyright © 2012-2014 恰考网 Inc. 保留所有权利。 Powered by tikuer.com

页面耗时0.0428秒, 内存占用1.03 MB, Cache:redis,访问数据库19次