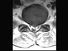
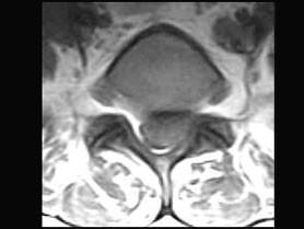
男,50岁,有腰腿疼痛2个月,疼痛可向左下肢放射,请结合所提供图像,选出最佳选项 ( )A、L/S椎间盘膨出B、L/L椎间盘膨出C...

作者: rantiku 人气: - 评论: 0
问题 男,50岁,有腰腿疼痛2个月,疼痛可向左下肢放射,请结合所提供图像,选出最佳选项 ( )
选项 A、L/S椎间盘膨出 B、L/L椎间盘膨出 C、L/L椎间盘突出 D、椎间盘变性 E、L/S椎间盘突出
答案 E
解析

猜你喜欢

发表评论
更多 网友评论0 条评论)
暂无评论

访问排行

Copyright © 2012-2014 恰考网 Inc. 保留所有权利。 Powered by tikuer.com

页面耗时0.0456秒, 内存占用1.03 MB, Cache:redis,访问数据库18次