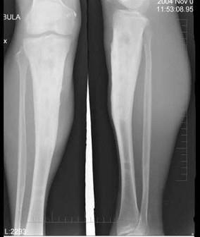
47岁男性患者,右小腿反复肿胀,发热,摄片如图示,考虑为慢性化脓性骨髓炎,下列描述错误的是 ( )A、可见泥沙样死骨B、以上都可见到C、骨髓腔...

作者: rantiku 人气: - 评论: 0
问题 47岁男性患者,右小腿反复肿胀,发热,摄片如图示,考虑为慢性化脓性骨髓炎,下列描述错误的是 ( )
选项 A、可见泥沙样死骨 B、以上都可见到 C、骨髓腔变窄,消失 D、骨质以增生硬化为主 E、骨干增粗,变形
答案 A
解析

猜你喜欢

发表评论
更多 网友评论0 条评论)
暂无评论

访问排行

Copyright © 2012-2014 恰考网 Inc. 保留所有权利。 Powered by tikuer.com

页面耗时0.0437秒, 内存占用1.03 MB, Cache:redis,访问数据库20次