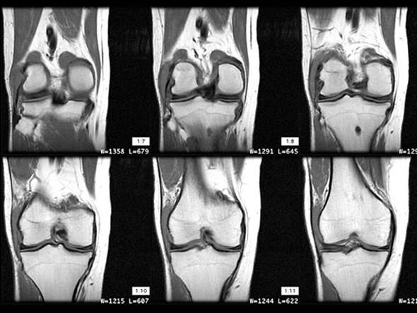
请根据所提供的图像,选择最佳选项是 ( )A、半月板损伤B、半月板囊变C、桶状半月板D、半月板黏液样变E、盘状半月板

作者: rantiku 人气: - 评论: 0
问题 请根据所提供的图像,选择最佳选项是 ( )
选项 A、半月板损伤 B、半月板囊变 C、桶状半月板 D、半月板黏液样变 E、盘状半月板
答案 E
解析

猜你喜欢

发表评论
更多 网友评论0 条评论)
暂无评论

访问排行

Copyright © 2012-2014 恰考网 Inc. 保留所有权利。 Powered by tikuer.com

页面耗时0.0362秒, 内存占用1.03 MB, Cache:redis,访问数据库19次