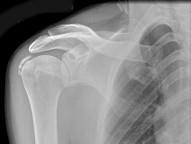
男,52岁,肩痛四月余,手臂旋转时疼痛加剧,请结合影像图像选择最可能的诊断 ( )A、骨囊肿B、骨脓肿C、骨结核D、冈上肌腱钙化E...

作者: rantiku 人气: - 评论: 0
问题 男,52岁,肩痛四月余,手臂旋转时疼痛加剧,请结合影像图像选择最可能的诊断 ( )
选项 A、骨囊肿 B、骨脓肿 C、骨结核 D、冈上肌腱钙化 E、软骨瘤
答案 D
解析

猜你喜欢

发表评论
更多 网友评论0 条评论)
暂无评论

访问排行

Copyright © 2012-2014 恰考网 Inc. 保留所有权利。 Powered by tikuer.com

页面耗时0.0380秒, 内存占用1.03 MB, Cache:redis,访问数据库20次