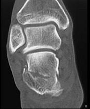
男,36岁,从高处摔下,脚部受伤,结合图像,最可能的诊断是 ( )A、舟状骨骨折B、楔骨骨折C、跟骨骨折D、骰骨骨折E、距骨骨折

作者: rantiku 人气: - 评论: 0
问题 男,36岁,从高处摔下,脚部受伤,结合图像,最可能的诊断是 ( )
选项 A、舟状骨骨折 B、楔骨骨折 C、跟骨骨折 D、骰骨骨折 E、距骨骨折
答案 C
解析

猜你喜欢

发表评论
更多 网友评论0 条评论)
暂无评论

访问排行

Copyright © 2012-2014 恰考网 Inc. 保留所有权利。 Powered by tikuer.com

页面耗时0.0504秒, 内存占用1.03 MB, Cache:redis,访问数据库20次