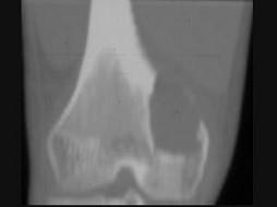
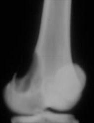
男,22岁,左侧膝部肿胀,疼痛2个月余,请结合影像学检查,选出最可能的诊断 ( )A、动脉瘤样骨囊肿B、软骨肉瘤C、骨肉瘤D、骨髓炎 ...

作者: rantiku 人气: - 评论: 0
问题 男,22岁,左侧膝部肿胀,疼痛2个月余,请结合影像学检查,选出最可能的诊断 ( )
选项 A、动脉瘤样骨囊肿 B、软骨肉瘤 C、骨肉瘤 D、骨髓炎 E、骨脓肿
答案 A
解析

猜你喜欢

发表评论
更多 网友评论0 条评论)
暂无评论

访问排行

Copyright © 2012-2014 恰考网 Inc. 保留所有权利。 Powered by tikuer.com

页面耗时0.0359秒, 内存占用1.03 MB, Cache:redis,访问数据库17次