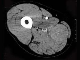
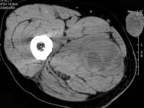
男,30岁,主诉右大腿肿块年余,逐渐增大,局部胀痛及压痛,请根据图像表现,选出最佳选项 ( )A、横纹肌肉瘤B、神经纤维瘤C、血管...

作者: rantiku 人气: - 评论: 0
问题 男,30岁,主诉右大腿肿块年余,逐渐增大,局部胀痛及压痛,请根据图像表现,选出最佳选项 ( )
选项 A、横纹肌肉瘤 B、神经纤维瘤 C、血管瘤 D、脂肪瘤 E、脓肿
答案 A
解析

猜你喜欢

发表评论
更多 网友评论0 条评论)
暂无评论

访问排行

Copyright © 2012-2014 恰考网 Inc. 保留所有权利。 Powered by tikuer.com

页面耗时0.0421秒, 内存占用1.03 MB, Cache:redis,访问数据库17次