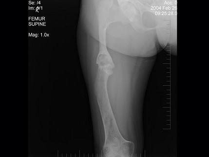
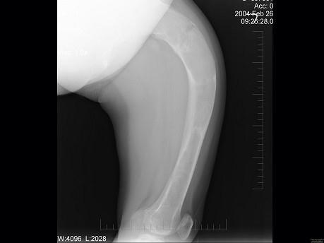
男,17岁,下肢畸形,有皮肤色素沉着,性早熟等,结合图选出最佳答案 ( )A、内生软骨瘤B、畸形性骨炎C、骨巨细胞瘤D、骨纤维结构不良...

作者: rantiku 人气: - 评论: 0
问题 男,17岁,下肢畸形,有皮肤色素沉着,性早熟等,结合图选出最佳答案 ( )
选项 A、内生软骨瘤 B、畸形性骨炎 C、骨巨细胞瘤 D、骨纤维结构不良 E、非骨化性纤维瘤
答案 D
解析

猜你喜欢

发表评论
更多 网友评论0 条评论)
暂无评论

访问排行

Copyright © 2012-2014 恰考网 Inc. 保留所有权利。 Powered by tikuer.com

页面耗时0.0522秒, 内存占用1.03 MB, Cache:redis,访问数据库17次