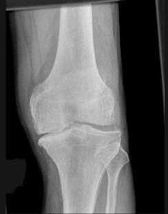
男,76岁,左膝关节长久站立时疼痛,可扪及捏发音,请结合图像,选出最可能的诊断 ( )A、创伤性关节炎B、肥大性骨关节病C、畸形性骨炎...

作者: rantiku 人气: - 评论: 0
问题 男,76岁,左膝关节长久站立时疼痛,可扪及捏发音,请结合图像,选出最可能的诊断 ( )
选项 A、创伤性关节炎 B、肥大性骨关节病 C、畸形性骨炎 D、神经性关节病 E、退行性骨关节病
答案 E
解析

猜你喜欢

发表评论
更多 网友评论0 条评论)
暂无评论

访问排行

Copyright © 2012-2014 恰考网 Inc. 保留所有权利。 Powered by tikuer.com

页面耗时0.0711秒, 内存占用1.02 MB, Cache:redis,访问数据库14次