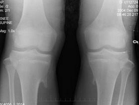
14岁男性患者,发现双膝关节包块1天,双膝关节摄片如图所示,最佳的诊断是 ( )A、软骨肉瘤B、骨肉瘤C、骨软骨瘤D、局限性骨皮质增厚...

作者: rantiku 人气: - 评论: 0
问题 14岁男性患者,发现双膝关节包块1天,双膝关节摄片如图所示,最佳的诊断是 ( )
选项 A、软骨肉瘤 B、骨肉瘤 C、骨软骨瘤 D、局限性骨皮质增厚 E、骨瘤
答案 C
解析

猜你喜欢

发表评论
更多 网友评论0 条评论)
暂无评论

访问排行

Copyright © 2012-2014 恰考网 Inc. 保留所有权利。 Powered by tikuer.com

页面耗时0.0392秒, 内存占用1.03 MB, Cache:redis,访问数据库20次