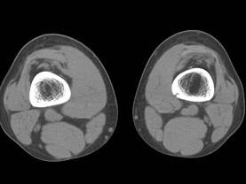
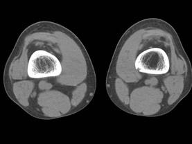
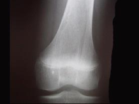
病例,女,15岁,因感右股骨下段不适,不痛不胀,体查无特殊,请结合所提供的图像,选择最佳选项是 ( )A、良性骨肿瘤B、骨结核C、...

作者: rantiku 人气: - 评论: 0
问题 病例,女,15岁,因感右股骨下段不适,不痛不胀,体查无特殊,请结合所提供的图像,选择最佳选项是 ( )
选项 A、良性骨肿瘤 B、骨结核 C、非骨化性骨纤维瘤 D、骨囊肿 E、纤维性骨皮质缺损
答案 E
解析

猜你喜欢

发表评论
更多 网友评论0 条评论)
暂无评论

访问排行

Copyright © 2012-2014 恰考网 Inc. 保留所有权利。 Powered by tikuer.com

页面耗时0.0389秒, 内存占用1.03 MB, Cache:redis,访问数据库19次