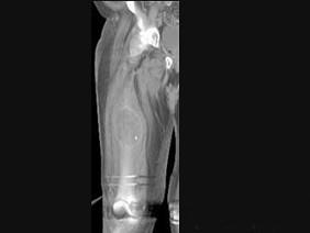
男,18岁,右股骨肿瘤术后,现大腿中部疼痛、肿胀,夜间尤甚,结合CT图像,最可能的诊断是 ( )A、成骨性骨转移瘤B、化脓性骨髓炎...

作者: rantiku 人气: - 评论: 0
问题 男,18岁,右股骨肿瘤术后,现大腿中部疼痛、肿胀,夜间尤甚,结合CT图像,最可能的诊断是 ( )
选项 A、成骨性骨转移瘤 B、化脓性骨髓炎 C、Ewing肉瘤 D、骨肉瘤 E、骨纤维肉瘤
答案 D
解析

猜你喜欢

发表评论
更多 网友评论0 条评论)
暂无评论

访问排行

Copyright © 2012-2014 恰考网 Inc. 保留所有权利。 Powered by tikuer.com

页面耗时0.0426秒, 内存占用1.03 MB, Cache:redis,访问数据库19次