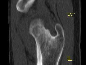
患者,女,19岁,左髋疼痛、活动受限伴跛行6个月,无发热、盗汗病史,曾考虑左髋关节结核并抗结核治疗2周,症状有一定缓解,请结合所提供图像,选择最佳答案 (...

作者: rantiku 人气: - 评论: 0
问题 患者,女,19岁,左髋疼痛、活动受限伴跛行6个月,无发热、盗汗病史,曾考虑左髋关节结核并抗结核治疗2周,症状有一定缓解,请结合所提供图像,选择最佳答案 ( )
选项 A、骨化性纤维瘤 B、骨囊肿 C、非骨化性纤维瘤 D、软骨母细胞瘤 E、骨样骨瘤
答案 D
解析

猜你喜欢

发表评论
更多 网友评论0 条评论)
暂无评论

访问排行

Copyright © 2012-2014 恰考网 Inc. 保留所有权利。 Powered by tikuer.com

页面耗时0.0296秒, 内存占用1.03 MB, Cache:redis,访问数据库14次