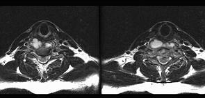
男,38岁,颈部疼痛伴低热1月余,曾有结核病史,结合MRI图像,最可能的诊断是 ( )A、颈椎骨转移瘤B、食管异物并感染C、颈椎体结核...

作者: rantiku 人气: - 评论: 0
问题 男,38岁,颈部疼痛伴低热1月余,曾有结核病史,结合MRI图像,最可能的诊断是 ( )
选项 A、颈椎骨转移瘤 B、食管异物并感染 C、颈椎体结核 D、咽后脓肿 E、颈椎体结核及咽后脓肿
答案 E
解析

猜你喜欢

发表评论
更多 网友评论0 条评论)
暂无评论

访问排行

Copyright © 2012-2014 恰考网 Inc. 保留所有权利。 Powered by tikuer.com

页面耗时0.0372秒, 内存占用1.03 MB, Cache:redis,访问数据库19次