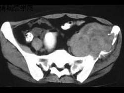
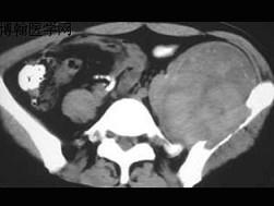
患者,男性,33岁,近2年来感左髂部疼痛,活动后加重,3周前由于剧烈运动后左下肢活动不能,查体左髋压痛明显,皮肤稍显红肿,请结合所提供的图像,选择最佳选项...

作者: rantiku 人气: - 评论: 0
问题 患者,男性,33岁,近2年来感左髂部疼痛,活动后加重,3周前由于剧烈运动后左下肢活动不能,查体左髋压痛明显,皮肤稍显红肿,请结合所提供的图像,选择最佳选项 ( )
选项 A、软骨瘤 B、软骨肉瘤 C、骨巨细胞瘤 D、骨囊肿 E、动脉瘤样骨囊肿
答案 E
解析

猜你喜欢

发表评论
更多 网友评论0 条评论)
暂无评论

访问排行

Copyright © 2012-2014 恰考网 Inc. 保留所有权利。 Powered by tikuer.com

页面耗时0.0392秒, 内存占用1.03 MB, Cache:redis,访问数据库20次