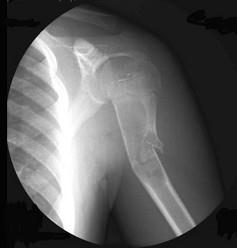
5岁男性患者,外伤后致使左肩关节疼痛伴关节活动障碍1小时,X线检查如图所示,最可能的诊断是 ( )A、左肱骨上段嗜酸性肉芽肿伴病理性骨折B、肱骨上...

作者: rantiku 人气: - 评论: 0
问题 5岁男性患者,外伤后致使左肩关节疼痛伴关节活动障碍1小时,X线检查如图所示,最可能的诊断是 ( )
选项 A、左肱骨上段嗜酸性肉芽肿伴病理性骨折 B、肱骨上段骨肉瘤伴病理性骨折 C、肱骨骨纤伴病理性骨折 D、肱骨上段骨囊肿伴病理性骨折 E、左肱骨上段骨折
答案 D
解析

猜你喜欢

发表评论
更多 网友评论0 条评论)
暂无评论

访问排行

Copyright © 2012-2014 恰考网 Inc. 保留所有权利。 Powered by tikuer.com

页面耗时0.0447秒, 内存占用1.03 MB, Cache:redis,访问数据库19次