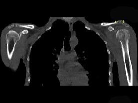
患者,男,29岁,行走时不慎跌倒,曾拟为左肱骨头骨折并行固定,但半年后疼痛未减轻,触压局部骨质松软,如触及乒乓球感,明显叩击痛,请结合所提供图像,选择最佳...

作者: rantiku 人气: - 评论: 0
问题 患者,男,29岁,行走时不慎跌倒,曾拟为左肱骨头骨折并行固定,但半年后疼痛未减轻,触压局部骨质松软,如触及乒乓球感,明显叩击痛,请结合所提供图像,选择最佳答案 ( )
选项 A、骨转移瘤 B、骨结核 C、骨网状细胞肉瘤 D、左肱骨头骨折 E、化脓性骨髓炎
答案 C
解析

猜你喜欢

发表评论
更多 网友评论0 条评论)
暂无评论

访问排行

Copyright © 2012-2014 恰考网 Inc. 保留所有权利。 Powered by tikuer.com

页面耗时0.0415秒, 内存占用1.03 MB, Cache:redis,访问数据库19次