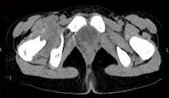
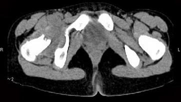
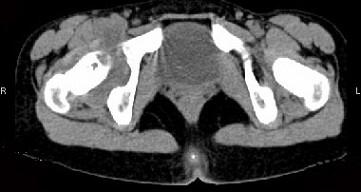
女,11岁,肺部有结核病史,2个月前右髋关节有外伤史,右髋关节部逐渐肿胀疼痛,休息后可减轻,请结合所提供图像,选择最佳选项 ( )A、右髋...

作者: rantiku 人气: - 评论: 0
问题 女,11岁,肺部有结核病史,2个月前右髋关节有外伤史,右髋关节部逐渐肿胀疼痛,休息后可减轻,请结合所提供图像,选择最佳选项 ( )
选项 A、右髋关节类风湿关节炎 B、右髋关节痛风 C、化脓性骨关节炎 D、右髋关节退行性变 E、右髋关节结核
答案 E
解析

猜你喜欢

发表评论
更多 网友评论0 条评论)
暂无评论

访问排行

Copyright © 2012-2014 恰考网 Inc. 保留所有权利。 Powered by tikuer.com

页面耗时0.0421秒, 内存占用1.03 MB, Cache:redis,访问数据库20次