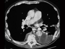
男,71岁,背部酸痛,低热,乏力,消瘦2个月余,请结合影像学检查选出最可能的诊断 ( )A、椎体压缩骨折B、阻滞椎C、化脓性脊柱炎...

作者: rantiku 人气: - 评论: 0
问题 男,71岁,背部酸痛,低热,乏力,消瘦2个月余,请结合影像学检查选出最可能的诊断 ( )
选项 A、椎体压缩骨折 B、阻滞椎 C、化脓性脊柱炎 D、脊椎结核 E、脊柱转移瘤
答案 D
解析

猜你喜欢

发表评论
更多 网友评论0 条评论)
暂无评论

访问排行

Copyright © 2012-2014 恰考网 Inc. 保留所有权利。 Powered by tikuer.com

页面耗时0.0347秒, 内存占用1.03 MB, Cache:redis,访问数据库15次