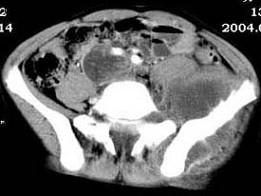
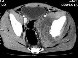
女,35岁,7个月前无诱因出现左下肢阵发性疼痛,左骶髂部活动受限,进行性加重,排便困难,请根据所提供的图像,选择最佳选项 ( )A、转移瘤...

作者: rantiku 人气: - 评论: 0
问题 女,35岁,7个月前无诱因出现左下肢阵发性疼痛,左骶髂部活动受限,进行性加重,排便困难,请根据所提供的图像,选择最佳选项 ( )
选项 A、转移瘤 B、滑膜肉瘤 C、软骨肉瘤 D、骨巨细胞瘤 E、脊索瘤
答案 B
解析

猜你喜欢

发表评论
更多 网友评论0 条评论)
暂无评论

访问排行

Copyright © 2012-2014 恰考网 Inc. 保留所有权利。 Powered by tikuer.com

页面耗时0.0539秒, 内存占用1.03 MB, Cache:redis,访问数据库19次