女,47岁,背痛半月余,2个月前被诊断为乳腺癌肝转移,请结合影像学检查,选出最可能的诊断 ( )A、椎体压缩骨折B、脊椎退行性变C...

作者: rantiku 人气: - 评论: 0
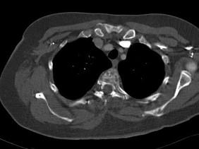
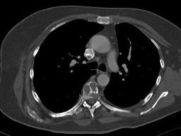
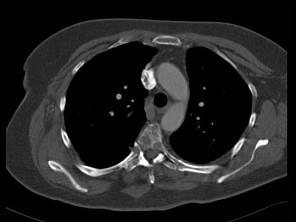
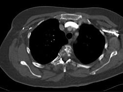
问题 女,47岁,背痛半月余,2个月前被诊断为乳腺癌肝转移,请结合影像学检查,选出最可能的诊断 ( )
选项 A、椎体压缩骨折 B、脊椎退行性变 C、脊椎转移瘤 D、化脓性脊柱炎 E、脊椎结核
答案 C
解析

猜你喜欢

发表评论
更多 网友评论0 条评论)
暂无评论

访问排行

Copyright © 2012-2014 恰考网 Inc. 保留所有权利。 Powered by tikuer.com

页面耗时0.0325秒, 内存占用1.03 MB, Cache:redis,访问数据库14次