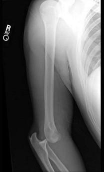
图示脱位最常见的为 ( )A、内侧方脱位B、骨折+脱位C、前脱位D、后脱位E、外侧方脱位

作者: rantiku 人气: - 评论: 0
问题 图示脱位最常见的为 ( )
选项 A、内侧方脱位 B、骨折+脱位 C、前脱位 D、后脱位 E、外侧方脱位
答案 D
解析

猜你喜欢

发表评论
更多 网友评论0 条评论)
暂无评论

访问排行

Copyright © 2012-2014 恰考网 Inc. 保留所有权利。 Powered by tikuer.com

页面耗时0.0360秒, 内存占用1.03 MB, Cache:redis,访问数据库19次