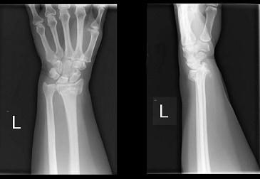
图示骨折,以下那种情况最少见 ( )A、合并腕三角软骨盘破裂B、合并下尺桡关节脱位C、骨折不愈合D、合并尺骨茎突骨折E、骨折畸形愈合

作者: rantiku 人气: - 评论: 0
问题 图示骨折,以下那种情况最少见 ( )
选项 A、合并腕三角软骨盘破裂 B、合并下尺桡关节脱位 C、骨折不愈合 D、合并尺骨茎突骨折 E、骨折畸形愈合
答案 C
解析

猜你喜欢

发表评论
更多 网友评论0 条评论)
暂无评论

访问排行

Copyright © 2012-2014 恰考网 Inc. 保留所有权利。 Powered by tikuer.com

页面耗时0.0506秒, 内存占用1.03 MB, Cache:redis,访问数据库19次