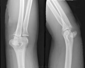
男,38岁,右肘关节外伤,请结合所提供图像,选择最佳答案 ( )A、肘关节脱位B、未见异常C、鹰嘴骨折D、肱骨内侧髁骨折E、肱骨外侧髁骨折

作者: rantiku 人气: - 评论: 0
问题 男,38岁,右肘关节外伤,请结合所提供图像,选择最佳答案 ( )
选项 A、肘关节脱位 B、未见异常 C、鹰嘴骨折 D、肱骨内侧髁骨折 E、肱骨外侧髁骨折
答案 C
解析

猜你喜欢

发表评论
更多 网友评论0 条评论)
暂无评论

访问排行

Copyright © 2012-2014 恰考网 Inc. 保留所有权利。 Powered by tikuer.com

页面耗时0.0935秒, 内存占用1.03 MB, Cache:redis,访问数据库14次