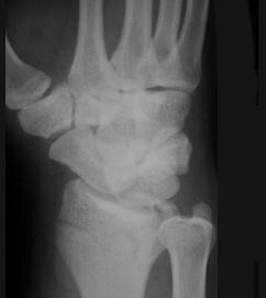
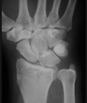
男,22岁,滑冰时摔倒右手撑地时受伤,请结合CR片,选出最可能的诊断 ( )A、桡骨远端骨折B、反柯莱斯骨折C、蒙泰贾骨折D、加莱...

作者: rantiku 人气: - 评论: 0
问题 男,22岁,滑冰时摔倒右手撑地时受伤,请结合CR片,选出最可能的诊断 ( )
选项 A、桡骨远端骨折 B、反柯莱斯骨折 C、蒙泰贾骨折 D、加莱阿齐骨折 E、柯莱斯骨折
答案 A
解析

猜你喜欢

发表评论
更多 网友评论0 条评论)
暂无评论

访问排行

Copyright © 2012-2014 恰考网 Inc. 保留所有权利。 Powered by tikuer.com

页面耗时0.0441秒, 内存占用1.03 MB, Cache:redis,访问数据库18次