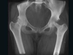
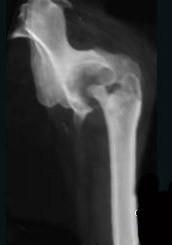
女,27岁,双侧髋部疼痛,肿胀2个月余,继往有髋部外伤史,请结合影像学检查,选出最可能的诊断 ( )A、慢性骨脓肿B、骨结核C、股骨头骨折...
相关内容:疼痛,月余,外伤,影像学,检查,选出,可能,诊断,脓肿,骨结核,股骨头
- 下列说法错误的是A、长间距胶原在良性和恶性神经鞘瘤均为组织学诊断指征B、良性和恶性神经鞘瘤可通过临床症状进行初步鉴别C、神经纤维瘤病常有典型的临床...
- 手外伤清创时应注意A、最好不用止血带B、清创时尽可能修复深部组织C、骨折与脱位均应当时给予复位固定D、尽量充分保留皮肤E、争取在6~8小时内进行
- 女性34岁,滑跌,右小腿出现疼痛,肿胀,稍有外旋畸形,足背感觉麻木,足趾不能背伸,但趾屈活动尚存在,X线片示右胫骨下1/3,腓骨颈骨折,出现的并发症最可能...
- 右大腿被撞伤,下1/3向后成角,局部明显肿胀,不能扪及足背动脉搏动,足趾发凉,最大的可能是 ( )A、股骨下1/3骨折伴腘动脉损伤B、股骨下1/3骨折...
- 男性,33岁。腰痛并向右下肢放射2周。无低热盗汗史。体格检查:腰椎向左侧凸,右下肢直腿抬高试验阳性,右小腿外侧皮肤痛觉减退,右足背伸肌力Ⅳ级。腰椎平片示腰...