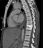
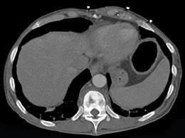
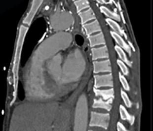
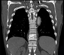
男,36岁,腰背部疼痛,局部软组织肿胀,夜间加重,背部有过外伤史,有过结合图像,最可能的诊断是 ( )A、强直性脊柱炎B、结核性骨髓炎...

作者: rantiku 人气: - 评论: 0
问题 男,36岁,腰背部疼痛,局部软组织肿胀,夜间加重,背部有过外伤史,有过结合图像,最可能的诊断是 ( )
选项 A、强直性脊柱炎 B、结核性骨髓炎 C、硬化型骨肉瘤 D、慢性骨髓炎 E、骨样骨瘤
答案 D
解析

猜你喜欢

发表评论
更多 网友评论0 条评论)
暂无评论

访问排行

Copyright © 2012-2014 恰考网 Inc. 保留所有权利。 Powered by tikuer.com

页面耗时0.0480秒, 内存占用1.03 MB, Cache:redis,访问数据库13次