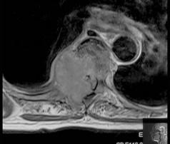
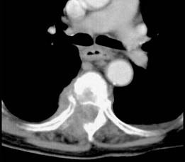
女,72岁,双下肢轻度截瘫3个月余,请结合影像学检查,选出最可能的诊断 ( )A、脊柱转移瘤B、强直性脊柱炎C、脊椎结核D、化...

作者: rantiku 人气: - 评论: 0
问题 女,72岁,双下肢轻度截瘫3个月余,请结合影像学检查,选出最可能的诊断 ( )
选项 A、脊柱转移瘤 B、强直性脊柱炎 C、脊椎结核 D、化脓性脊柱炎 E、椎体压缩骨折
答案 C
解析

猜你喜欢

发表评论
更多 网友评论0 条评论)
暂无评论

访问排行

Copyright © 2012-2014 恰考网 Inc. 保留所有权利。 Powered by tikuer.com

页面耗时0.0375秒, 内存占用1.03 MB, Cache:redis,访问数据库20次