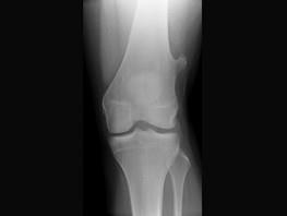
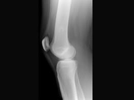
患者,女性,39岁。发现左大腿下段后部有一包块,质较硬,无明显疼痛感觉,请结合所提供的图像,选择最佳选項 ( )A、骨软骨瘤B、骨瘤C、软...

作者: rantiku 人气: - 评论: 0
问题 患者,女性,39岁。发现左大腿下段后部有一包块,质较硬,无明显疼痛感觉,请结合所提供的图像,选择最佳选項 ( )
选项 A、骨软骨瘤 B、骨瘤 C、软骨瘤 D、骨肉瘤 E、软骨肉瘤
答案 A
解析

猜你喜欢

发表评论
更多 网友评论0 条评论)
暂无评论

访问排行

Copyright © 2012-2014 恰考网 Inc. 保留所有权利。 Powered by tikuer.com

页面耗时0.0479秒, 内存占用1.03 MB, Cache:redis,访问数据库20次