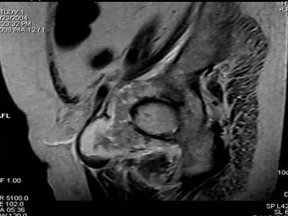
患者 男,38岁,感觉左髋部疼痛,并逐渐加重,体检:左髋部明显肿胀压痛,无明显发热,请选择最佳诊断 ( )A、软骨肉瘤B、软骨黏液纤维...

作者: rantiku 人气: - 评论: 0
问题 患者 男,38岁,感觉左髋部疼痛,并逐渐加重,体检:左髋部明显肿胀压痛,无明显发热,请选择最佳诊断 ( )
选项 A、软骨肉瘤 B、软骨黏液纤维瘤 C、纤维肉瘤 D、骨肉瘤 E、骨巨细胞瘤
答案 A
解析

猜你喜欢

发表评论
更多 网友评论0 条评论)
暂无评论

访问排行

Copyright © 2012-2014 恰考网 Inc. 保留所有权利。 Powered by tikuer.com

页面耗时0.0309秒, 内存占用1.03 MB, Cache:redis,访问数据库19次