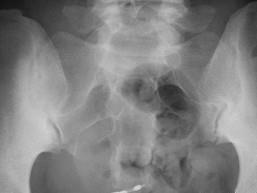
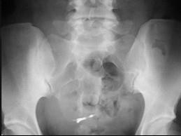
女,45岁,骶髂部疼痛3个月余,请结合影像图像,选择最可能的诊断 ( )A、骶髂骨骨囊肿B、骶髂骨骨脓肿C、骶髂关节结核D、骶髂关节炎...

作者: rantiku 人气: - 评论: 0
问题 女,45岁,骶髂部疼痛3个月余,请结合影像图像,选择最可能的诊断 ( )
选项 A、骶髂骨骨囊肿 B、骶髂骨骨脓肿 C、骶髂关节结核 D、骶髂关节炎 E、骶髂关节骨折
答案 D
解析

猜你喜欢

发表评论
更多 网友评论0 条评论)
暂无评论

访问排行

Copyright © 2012-2014 恰考网 Inc. 保留所有权利。 Powered by tikuer.com

页面耗时0.0344秒, 内存占用1.03 MB, Cache:redis,访问数据库14次