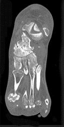
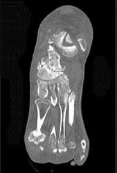
男,68岁,脚行走时疼痛,无红、肿、热、痛,结合图像,最可能的诊断是 ( )A、骨嗜酸性肉芽肿B、骨肉瘤C、骨结核D、骨转移瘤E、...

作者: rantiku 人气: - 评论: 0
问题 男,68岁,脚行走时疼痛,无红、肿、热、痛,结合图像,最可能的诊断是 ( )
选项 A、骨嗜酸性肉芽肿 B、骨肉瘤 C、骨结核 D、骨转移瘤 E、骨性关节炎
答案 E
解析

猜你喜欢

发表评论
更多 网友评论0 条评论)
暂无评论

访问排行

Copyright © 2012-2014 恰考网 Inc. 保留所有权利。 Powered by tikuer.com

页面耗时0.0542秒, 内存占用1.03 MB, Cache:redis,访问数据库14次