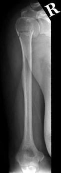
图示骨折的分类有( )A、内收型骨折B、无移位骨折C、粉碎型骨折D、外展型骨折E、压缩骨折

作者: rantiku 人气: - 评论: 0
问题 图示骨折的分类有( )
选项 A、内收型骨折 B、无移位骨折 C、粉碎型骨折 D、外展型骨折 E、压缩骨折
答案 BCE
解析

猜你喜欢

发表评论
更多 网友评论0 条评论)
暂无评论

访问排行

Copyright © 2012-2014 恰考网 Inc. 保留所有权利。 Powered by tikuer.com

页面耗时0.0456秒, 内存占用1.03 MB, Cache:redis,访问数据库18次