病历摘要: 患者×××,男性,21岁,不慎从3米高处坠落,双足着地,出现双足跟肿胀疼痛,腰痛不能站立。查体:腰1棘突有压痛和叩击痛,双足足跟部肿胀,触痛(...

作者: rantiku 人气: - 评论: 0
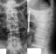
问题 病历摘要: 患者×××,男性,21岁,不慎从3米高处坠落,双足着地,出现双足跟肿胀疼痛,腰痛不能站立。查体:腰1棘突有压痛和叩击痛,双足足跟部肿胀,触痛(+),双下肢感觉正常,双足伸足母、伸趾正常,双膝关节伸屈正常。 该患者的诊断是: 提示:该患者腰椎 X线如图
选项 A、腰1椎体陈旧性骨折 B、腰1椎体骨折并后凸畸形 C、腰1椎体骨折并椎管狭窄 D、腰1椎体爆裂骨折 E、腰1椎体骨折脱位 F、腰1椎体压缩性骨折
答案 F
解析 F

猜你喜欢

发表评论
更多 网友评论0 条评论)
暂无评论

访问排行

Copyright © 2012-2014 恰考网 Inc. 保留所有权利。 Powered by tikuer.com

页面耗时0.0617秒, 内存占用1.03 MB, Cache:redis,访问数据库20次