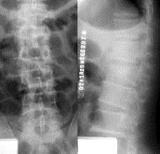
病历摘要: 患者×××,男性,21岁,不慎从3米高处坠落,双足着地,出现双足跟肿胀疼痛,腰痛不能站立。查体:腰1棘突有压痛和叩击痛,双足足跟部肿胀,触痛(...

作者: rantiku 人气: - 评论: 0
问题 病历摘要: 患者×××,男性,21岁,不慎从3米高处坠落,双足着地,出现双足跟肿胀疼痛,腰痛不能站立。查体:腰1棘突有压痛和叩击痛,双足足跟部肿胀,触痛(+),双下肢感觉正常,双足伸足母、伸趾正常,双膝关节伸屈正常。 该患者的治疗以下叙述哪些是正确的?
选项 A、后入路椎板切除减压+椎弓根钉内固定 B、后入路椎板切除减压 C、后入路椎弓根钉内固定撑开复位,植骨融合 D、侧方前入路腰1椎体切除椎间植骨融合+椎体钉内固定 E、保守治疗卧床3个月
答案 CE
解析 CE

猜你喜欢

发表评论
更多 网友评论0 条评论)
暂无评论

访问排行

Copyright © 2012-2014 恰考网 Inc. 保留所有权利。 Powered by tikuer.com

页面耗时0.0420秒, 内存占用1.03 MB, Cache:redis,访问数据库20次