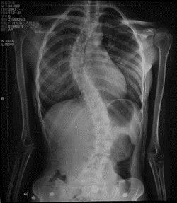
病历摘要: 患者××,女,17岁,发现剃刀背畸形3个月。查体:脊柱胸段向右侧凸,腰段向左侧凸,右胸廓呈剃刀背畸形,双下肢未见明显异常。特发性脊柱侧...

作者: rantiku 人气: - 评论: 0
问题 病历摘要: 患者××,女,17岁,发现剃刀背畸形3个月。查体:脊柱胸段向右侧凸,腰段向左侧凸,右胸廓呈剃刀背畸形,双下肢未见明显异常。 特发性脊柱侧弯的Moe分型:
选项 A、胸椎双弧度型 B、单一胸腰椎主弧型 C、单一腰椎主弧型 D、单一胸椎主弧型 E、胸腰椎双弧型 F、胸腰及胸椎双弧度型 G、单一上胸椎主弧型 H、胸椎主弧和腰椎次弧型
答案 ABCDEFGH
解析 ABCDEFGH

猜你喜欢

发表评论
更多 网友评论0 条评论)
暂无评论

访问排行

Copyright © 2012-2014 恰考网 Inc. 保留所有权利。 Powered by tikuer.com

页面耗时0.0401秒, 内存占用1.03 MB, Cache:redis,访问数据库19次