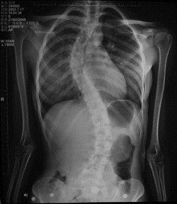
病历摘要: 患者××,女,17岁,发现剃刀背畸形3个月。查体:脊柱胸段向右侧凸,腰段向左侧凸,右胸廓呈剃刀背畸形,双下肢未见明显异常。该患者的治疗...

作者: rantiku 人气: - 评论: 0
问题 病历摘要: 患者××,女,17岁,发现剃刀背畸形3个月。查体:脊柱胸段向右侧凸,腰段向左侧凸,右胸廓呈剃刀背畸形,双下肢未见明显异常。 该患者的治疗方案:
选项 A、手术矫正 B、先保守治疗,看无效再行手术治疗 C、保守治疗
答案 A
解析 A

猜你喜欢

发表评论
更多 网友评论0 条评论)
暂无评论

访问排行

Copyright © 2012-2014 恰考网 Inc. 保留所有权利。 Powered by tikuer.com

页面耗时0.0379秒, 内存占用1.03 MB, Cache:redis,访问数据库20次