患儿,男,1天,生后呼吸困难,羊水见胎粪污染,如图,最可能的诊断为?(?)A.新生儿肺炎B.新生儿湿肺C.新生儿肺出血D.新生儿呼吸窘迫综...

作者: rantiku 人气: - 评论: 0
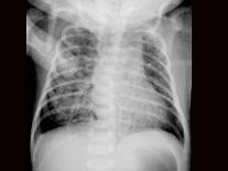
问题 患儿,男,1天,生后呼吸困难,羊水见胎粪污染,如图,最可能的诊断为?(?)
选项 A.新生儿肺炎 B.新生儿湿肺 C.新生儿肺出血 D.新生儿呼吸窘迫综合症 E.胎粪吸入综合征
答案 E
解析

猜你喜欢

发表评论
更多 网友评论0 条评论)
暂无评论

Copyright © 2012-2014 恰考网 Inc. 保留所有权利。 Powered by tikuer.com

页面耗时0.0328秒, 内存占用1.03 MB, Cache:redis,访问数据库18次