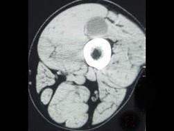
男,48岁,左大腿上段后部轻度胀痛,轻压痛,无明确外伤史,请结合所提供的图像,选择最佳选项 ( )A、腱鞘囊肿B、腱鞘脓肿...

作者: rantiku 人气: - 评论: 0
问题 男,48岁,左大腿上段后部轻度胀痛,轻压痛,无明确外伤史,请结合所提供的图像,选择最佳选项 ( )
选项 A、腱鞘囊肿 B、腱鞘脓肿 C、皮脂腺瘤 D、脂肪瘤 E、表皮样囊肿
答案 A
解析

猜你喜欢

发表评论
更多 网友评论0 条评论)
暂无评论

访问排行

Copyright © 2012-2014 恰考网 Inc. 保留所有权利。 Powered by tikuer.com

页面耗时0.0464秒, 内存占用1.03 MB, Cache:redis,访问数据库19次