病历摘要: 患者×××,男性,21岁,不慎从3米高处坠落,双足着地,出现双足跟肿胀疼痛,腰痛不能站立。查体:腰1棘突有压痛和叩击痛,双足足跟部肿胀,触痛(...

作者: rantiku 人气: - 评论: 0
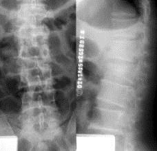
问题 病历摘要: 患者×××,男性,21岁,不慎从3米高处坠落,双足着地,出现双足跟肿胀疼痛,腰痛不能站立。查体:腰1棘突有压痛和叩击痛,双足足跟部肿胀,触痛(+),双下肢感觉正常,双足伸足母、伸趾正常,双膝关节伸屈正常。 关于胸腰椎骨折脊髓手术探查的适应症,以下叙述正确的是?
选项 A、不完全截瘫,伴有严重神经根疼痛,表示神经根被压者,或者神经症状进行性加重者 B、患者为完全截瘫,估计脊髓并未横断,而为完全性脊髓损伤者,或者严重不全截瘫,拟对脊髓进行探查治疗者 C、腰椎严重骨折脱位,完全截瘫,估计马尾横断,拟手术缝合修复者 D、椎管内有骨折块压迫脊髓者,如椎板骨折下陷压迫脊髓者,需行椎板切除减压,椎体骨折自前方压迫脊髓者,行侧前方减压
答案 ABCD
解析 ABCD

猜你喜欢

发表评论
更多 网友评论0 条评论)
暂无评论

访问排行

Copyright © 2012-2014 恰考网 Inc. 保留所有权利。 Powered by tikuer.com

页面耗时0.0467秒, 内存占用1.03 MB, Cache:redis,访问数据库17次