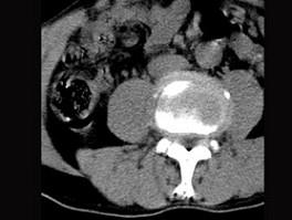
男,45岁,腰痛,请结合所提供图像,选择最佳答案 ( )A、腰椎骨质增生B、前纵韧带钙化C、椎间盘突出D、椎间盘未见异常E...

作者: rantiku 人气: - 评论: 0
问题 男,45岁,腰痛,请结合所提供图像,选择最佳答案 ( )
选项 A、腰椎骨质增生 B、前纵韧带钙化 C、椎间盘突出 D、椎间盘未见异常 E、椎间盘膨出
答案 E
解析

猜你喜欢

发表评论
更多 网友评论0 条评论)
暂无评论

访问排行

Copyright © 2012-2014 恰考网 Inc. 保留所有权利。 Powered by tikuer.com

页面耗时0.0370秒, 内存占用1.03 MB, Cache:redis,访问数据库17次